Año de la Revista:

2017

Edición N°:

2

Autores:

Baquedano L, Del Agua C, José Y, Rubio P, Villalobos F, Adiego I, Quiz-Conde MA


Descargar Documento PDF:
sochog.cl

Imágen 1:

Imágen 01

Imágen 2:

Imágen 01

Imágen 3:

Imágen 01

Título:

Tipo de documento:

Casos Clínicos

CANCER SINCRONICO DE ENDOMETRIO Y TROMPA

Volumen:
82

Contenido del documento:


RESUMEN

Los tumores sincrónicos del tracto genital femenino son un entidad infrecuente que plantea un reto en el diagnóstico diferencial con la enfermedad metastásica. La mayoría de ellos son cánceres de endometrio y ovario, siendo los tumores sincrónicos de endometrio (CE) y trompa (CT) una asociación excepcional. Presentamos el caso de una paciente de 54 años con un diagnóstico preoperatorio de CE en la en la pieza quirúrgica se desveló la existencia de un tumor sincrónico de trompa izquierda. A propósito de este caso se realiza una revisión del tema haciendo hincapié en cómo llegar a un correcto diagnóstico de los tumores independientes descartando la extensión tumoral y la enfermedad metastásica.

PALABRAS CLAVE:

SUMMARY

Synchronous primary cancers of gynecological tract are uncommon and a challenge in the differential diagnosis with metastatic disease. Most of them are endometrial and ovarian cancers. Synchronous primary endometrial (EC) and tube fallopian cancers (TC) are a very rare association. We report the case of a patient of 54 years with EC preoperative diagnosis with synchronous left TC postoperative diagnosis. We review the topic emphasizing how to reach a correct diagnosis of tumors independent refusing the tumor invasion and metastatic disease.

KEY WORDS:

Los tumores primarios múltiples o sincrónicos son una rara entidad que reviste un especial interés clínico y patológico. Se denomina así a aquellas neoplasias que se presentan en un mismo paciente, simultánea o sucesivamente y cumplen los siguientes criterios: 1. Cada tumor debe tener un patrón definido de malignidad.

 

2. Se debe excluir que uno constituya metástasis de otro.

 

3. Cada tumor presenta una histología diferente, y si ambos son similares dentro del mismo órgano, que no se pueda demostrar ninguna conexión entre ellos.

 

4. Cada tumor debe seguir su historia natural y puede presentar una evolución independiente.

 

5. Cada tumor puede presentarse con síntomas propios o ser un hallazgo en el curso del estudio necesario para el diagnóstico, estadificación o seguimiento del primero, o ser hallado post mórtem, durante la necropsia.

 

6. El diagnóstico de los tumores puede ser sucesivo (metacrónico) o simultáneo (sincrónicos).

 

El pronóstico de las pacientes con neoplasias sincrónicas es mejor que aquéllas con afectación simultánea de varios órganos por enfermedad metastásica y su tratamiento es similar al indicado para cada tumor de forma individual.
En el contexto de un cáncer de endometrio (CE), el tumor sincrónico más frecuente es el de ovario, que plantea la duda a la hora de diferenciar si se trata de un estadio IIIA de CE o un cáncer sincrónico. El carcinoma primario de trompa es un tumor muy poco frecuente que constituye el 0.3-1% de todos los tumores malignos ginecológicos. La asociación de carcinoma de endometrio y trompa (CT) sincrónicos está poco estudiada y la bibliografía al respecto es muy limitada.

 

El objetivo de este artículo es presentar un caso de CE y CT sincrónico diagnosticado en el Hospital Universitario Miguel Servet de Zaragoza y hacer una revisión de la literatura al respecto.

 

CASO CLINICO

 

Paciente de 59 años, nuligesta, sin antecedentes familiares de interés oncológico. Como antecedentes personales la paciente era hipertensa, dislipémica y se encuentraba bajo tratamiento psiquiátrico por trastorno de esquizofrenia paranoide. Acudió a consulta por presentar sangrado postmenopáusico discontinuo el mes previo, por lo que se realizó una exploración física, que fue normal y un ecografía ginecológica en la que se advirtió un endometrio heterogéneo y engrosado de 9 mm. En ese momento se practicó una biopsia endometrial a ciegas con resultado de carcinoma de endometrio tipo endometrioide moderadamente diferenciado (G2) y áreas mucinosas. El estudio preoperatorio fue normal, incluidos los marcadores tumorales y en el TAC abdominopélvico realizado formando parte del estudio de extensión se observaron varias adenopatías en el territorio iliaco derecho de dudosa afectación metastásica.

 

Por todo ello se practicó la cirugía de estadificación para CE incluyendo la realización de histerectomía total, anexectomía bilateral, toma de muestra para estudio citológico peritoneal y análisis intraoperatorio de la pieza quirúrgica para valorar la invasión miometrial que fue informada de infiltración menor al 50%, por lo que se desestimó continuar la cirugía.

 

Durante el acto quirúrgico no se evidenció enfermedad extrauterina ni se objetivaron ganglios de aspecto sospechoso. El postoperatorio cursó de forma tórpida debido a la aparición de un íleo paralítico al tercer día del postoperatorio que se resolvió favorablemente con sonda nasogástrica y tratamiento médico.
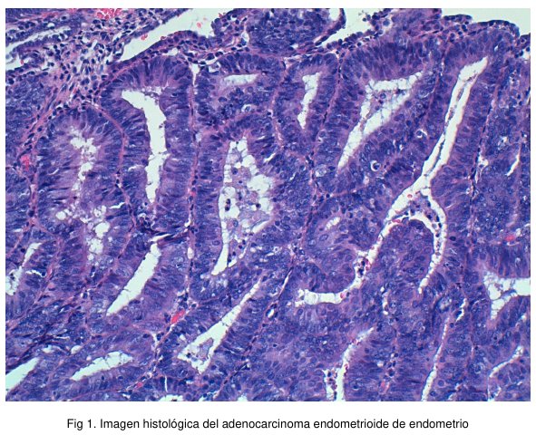
El resultado anatomopatológico definitivo de la pieza quirúrgica fue de CE de tipo endometrioide moderadamente diferenciado (G2) con áreas de diferenciación escamosa de 20 mm con invasión superficial del miometrio (<50%) sin afectación del espacio linfovascular y presencia de neoplasia intraepitelial acompañante (hiperplasia atípica del endometrio) (Fig 1). Los márgenes quirúrgicos estaban libres de enfermedad. No se objetivó afectación del istmo uterino, cérvix, parametrios ni otras estructuras adyacentes. El análisis citológico de los lavados peritoneales fue negativo. Al realizar cortes seriados de las trompas de Falopio, se encontró un tumor de 25 mm en la región fúndica de la trompa izquierda de tipo endometrioide G2 sin presencia de tumor en la superficie tubárica ni afectación del espacio linfovascular (Fig 2 y 3).

 

Dado el resultado definitivo de la pieza quirúrgica, en la sesión del Comité de tumores se decidió programar una nueva laparotomía a fin de efectuar cirugía completa de estadificación realizando omentectomía, apendicectomía y linfadenectomía de territorios pélvicos y paraaórtico.

 

Durante la misma los hallazgos fueron de normalidad aparente en el abdomen y la pelvis. Se aislaron 12 ganglios linfáticos en los que no se evidenció infiltración neoplásica y tanto el epiplón como el apéndice estaban libres de enfermedad. Por todo ello se etiquetó el cuadro de CE y CT sincrónicos con estadios FIGO para ambos IA. En nueva sesión de Comité de tumores se decidió dado los estadios precoces de ambos tumores desestimar adyuvancia y realizar seguimiento de la paciente en la consulta de Ginecología Oncológica. Tras 6 meses de la cirugía, la paciente se encuentra libre de enfermedad.

 

DISCUSION

 

El cáncer sincrónico supone un hallazgo inusual en ginecología oncológica representando alrededor del 5% de los casos. En el contexto de un CE, el tumor sincrónico más frecuente es el de ovario, que plantea la duda de que se trate de un estadio IIIA para CE. Los CE y ovario sincrónicos se encuentran en el 5% de las mujeres con CE y en el 10% de las pacientes con cánceres de ovario.

 

La etiología de este tipo de tumores es incierta. Se ha propuesto que el sistema mülleriano extendido, descrito por Lauchlan en 1968 y que abarca el epitelio de la superficie ovárica, trompas de Falopio, útero (cuerpo y cérvix) con un mismo origen embrionario común, podría responder como una unidad morfológica única para producir distintas neoplasias primarias en múltiples sitios ante un mismo estímulo carcinogénico u hormonal.

 

El carcinoma primario de trompa es un tumor raro, que generalmente aparece en mujeres postmenopaúsicas y la histología más común es el tipo seroso, seguido del endometiroide. La existencia de tumores sincrónicos en el endometrio y en las trompas es un evento muy raro y poco conocido, con pocos casos descritos en la literatura médica. La serie más amplia publicada incluye 13 casos procedentes del Departamento de Anatomía Patología del Centro MD Anderson en un periodo de 8 años, siendo 3 de ellos carcinomas in situ en la trompa.

 

La edad al diagnóstico de nuestra paciente fue de 54 años, lo cual coincide con edad media de presentación de los cánceres primitivos de trompa que se sitúa en la década de los 50 y es significativamente superior a la edad de las pacientes con cánceres sincrónicos de endometrio y ovario, que ronda los 40 años. La forma de presentación en forma de sangrado anómalo es la habitual tanto para el CE como el CT. Latzko describió en 1916 la tríada clásica de presentación compuesta por dolor abdominal, hidrohematorrea y masa anexial palpable, que es característica del cáncer de trompa pero muy infrecuente.

 

La localización distal o fímbrica, concordante con nuestro caso es la más frecuente. En caso de encontrarse el carcinoma en la porción media, el istmo ha de estar libre de tumor para poder considerarse sincrónico con el tumor endometrial y no una extensión directa del mismo.

 

Las histología más habitualmente informada para este tipo de tumores es el subtipo endometrioide, tanto en el endometrio como en la trompa y habitualmente con grado histológico tumoral bajo o intermedio (bien o moderadamente diferenciado). 9 Varias publicaciones que han estudiado los tumores sincrónicos del tracto genital han señalado que suelen tratarse de tumores en estadios precoces al diagnóstico. 9, Ello coincide con nuestra paciente, en la que tanto en la trompa como en el endometrio fueron carcinomas de tipo endometrioide G2 estadio FIGO IA. El tratamiento debe ser el apropiado para cada tipo de tumor, evitando terapias incompletas que darían lugar a resultados desfavorables.

 

Para considerar que dos carcinomas son independientes es preciso descartar en primer lugar que se trata de la extensión directa de una a otra localización, determinando en este caso que la superficie uterina y de la trompa están libres de tumor. El principal obstáculo ante la coexistencia de lesiones tumorales en el endometrio y la trompa reside en distinguir los tumores sincrónicos primarios de los metastásicos lo cual es particularmente complicado si los tumores tienen una histología similar. En 1985 Ulbrigth y Roth establecieron los criterios histopatológicos para el diagnóstico de tumores sincrónicos de endometrio y ovario. Estos hallazgos fueron revisados y modificados en 1998 por Scully y cols y son actualmente con los que se basa el diagnóstico de esta entidad.

 

Sin embargo, no existen criterios específicos anatomopatológicos para el diagnóstico del CE y trompa sincrónicos. Es necesario guiarse por los criterios de Alvarado- Cabrero en referencia al diagnóstico de tumores primitivos de trompa. Para considerar que un tumor es primitivo y no metastásico de trompa debe ser macro y microscópicamente indistinguible de uno primario y al menos se deben cumplir dos de los siguientes criterios:

 

1. Presencia de discontinuidad entre el tumor tubárico y el/los otros carcinomas.

 

2. Existencia de diferencias histológicas entre ambos tumores.

 

3. Mayor tamaño del tumor en las trompas.

 

4. Estadio más avanzado en las trompas que el del tumor en la otra localización.

 

A pesar de las limitaciones en la experiencia acerca de la evolución de estas pacientes dada la escasez de series publicadas, parece que su pronóstico es favorable y en cualquier caso mejor que aquéllas con tumores coincidentes pero no independientes sino de naturaleza metastásica, con intervalos libres de enfermedad y de supervivencia global más limitados. De ahí que sea de crucial importancia realizar un correcto diagnóstico diferencial entre estas dos entidades.

 

En conclusión, la aparición sincrónica de un CE y CT es una patología muy rara y controvertida desde el punto de vista de su diagnóstico. Sin embargo, debido a las implicaciones pronósticas que se derivan de distinguir esta entidad de la afectación metastásica, es muy importante realizar una correcta filiación de la misma.

BIBLIOGRAFÍA

Gallo JL, González-Paredes A, López-Criado S, López-Gallego MF, Quiles C. Neoplasias primarias sincrónicas de endometrio y ovario. Clin Invest Gin Obst. 2008;35:35-7

Oranratanaphan S, Manchana T, Sirisabya N. Clinicopathologic Variables and Survival Comparison of Patients with Synchronous Endometrial and Ovarian Cancers versus Primary Endometrial Cancer with Ovarian Metastasis. Asian Pacific J Cancer Prev 2008; 9: 403-8

D. Pectasides,E. Pectasides,T. Economopoulos. Fallopian tube carcinoma: a review Oncologist. 2006; 11: 902-12

Zaino R, Whitney C, Brady M, Degeest K, Burger R, Buller R. Simultaneously detected endometrial and ovarian carcinomas – a prospective clinicopathologic study of 74 cases: a Gynecologic Oncology Group Study. Gynecol Oncol 2001;83:355-62

Lauchlan SC. Conceptual unity of the müllerian tumor group. A histological study. Cancer. 1968;22:601-10

Eisner RF, Nieberg RK, Berek JS (1989) Synchronous primary neoplasms of the female reproductive tract. Gynecol Oncol 33:335–339

Baekelandt M, Nesbakken AJ, Kristensen GB, et al. Carcinoma of the fallopian tube. Clinicopathologic study of 151 patients treated at the Norwegian Radium Hospital. Cancer. 2000;89:2076–2084

Culton LK, Deavers MT, Silva EG, Liu J, Malpica A. Endometrioid carcinoma simultaneously involving the uterus and thefallopian tube: a clinicopathologic study of 13 cases. Am J Surg Pathol. 2006 Jul;30(7):844-9

Walsh C, Holschneider C, Hoang Y, Tieu K, Karlan B, Cass I. Coexisting ovarian malignancy in Young women with endometrial cancer. Obstet Gynecol 2005;106;693-9

Ajithkumar TV, Minimole AL, John MM. primary fallopian tuve carcinoma. Obstet Gynecol Surv. 2005;60:247-52

Yong Kuei Lim, Rama Padma, Lilian Foo, Yin Nin Chia, Philip Yam, John Chia. Et al. Survival outcome of women with synchronous cancers of endometrium and ovary: a 10 year retrospective cohort study. J Gynecol Oncol 2011; 22(4):239-43

Ulbright TM, Roth LM. Metastatic and independent cancers of the endometrium and ovary: a clinicopathologic study of 34 cases. Hum Pathol 1985;16;28-34

Scully RE, Young RH, Clement PB. Tumors of the ovary, maldeveloped gonads, fallopian tube and broad ligament. Atlas of tumor pathology. Bethesda, MD: Armed Forces Institute of Pathology; 1998

Alvarado-Cabrero I, Young RH, Vamvakas EC, et al. Carcinoma of the fallopian tube: a clinicopathological study of 105 cases with observations on staging and prognostic factors. Gynecol Oncol. 1999;72:367–379

Oranratanaphan S, Manchana T, Sirisabya N. Clinicopathologic variables and survival comparison of patients with synchronous endometrial cancer with ovaryan metastasis. Asian Pac J Cancer Prev 2008